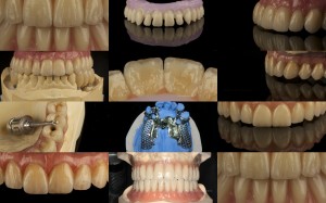
Dental López Laboratorio realiza todo tipo de prótesis para reponer las piezas dentales dañadas o perdidas. La importancia de las prótesis dentales se encuentra, principalmente, en que permiten devolver la estética y funcionalidad de la boca; el paciente puede volver a masticar sin problema, a hablar con claridad y sonreír sin complejos. Las prótesis dentales permiten restituir la salud bucodental y, en algunos casos, emocional del paciente.
Al disponer de la tecnología e instrumental necesarios, Dental López Laboratorio realiza íntegramente todo el trabajo de diseño, fabricación y mantenimiento de las prótesis con un elevado grado de precisión gracias a la técnica Cad-Cam.
Realizamos todo tipo de prótesis:

