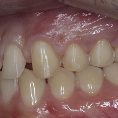
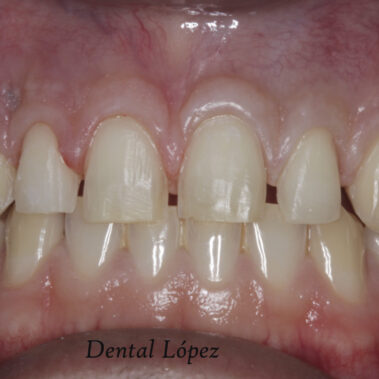
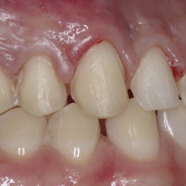
Estética DentalDental LópezEmax con cerámicaCarillas feldespáticas Share this post Share on FacebookShare on Facebook Share on XShare on X Pin itShare on Pinterest Share on LinkedInShare on LinkedIn Share on WhatsAppShare on WhatsApp Navegación entre proyectosPreviousProyecto anteriorProtesis Fijas